Ich hatte das Thema Zahngesundheit bei Katzen viel zu lange auf „irgendwann mal“ geschoben. Nicht, weil es mir egal war – sondern weil man im Alltag eben tausend Dinge im Kopf hat. Und weil Katzen leider oft so tun, als wäre alles okay.
Inhaltsverzeichnis (klicken)…
- Zahngesundheit bei Katzen: Der Moment, der mir die Augen geöffnet hat
- Trockenfutter und Zahnstein: Ich verlasse mich darauf nicht mehr
- Was ich stattdessen mache (ohne perfekt sein zu wollen)
- Zahngesundheit bei Katzen: Die kleinen Zeichen, die ich heute ernster nehme
- Mein Fazit: Ich hätte früher hinschauen sollen
Dann kamen Ernie und Bert. Zwei Kater, die in ihrem alten Zuhause vor allem Trockenfutter und zusätzlich Essensreste bekommen haben. Als sie bei mir ankamen, war erstmal alles neu: Umgebung, Routine, Vertrauen. Und trotzdem gab es irgendwann diesen Moment, in dem ich dachte: Irgendwas stimmt nicht.
Nicht dramatisch. Eher so unterschwellig. Und genau das ist bei Katzen ja das Gemeine: Sie sind Meister darin, sich nichts anmerken zu lassen.
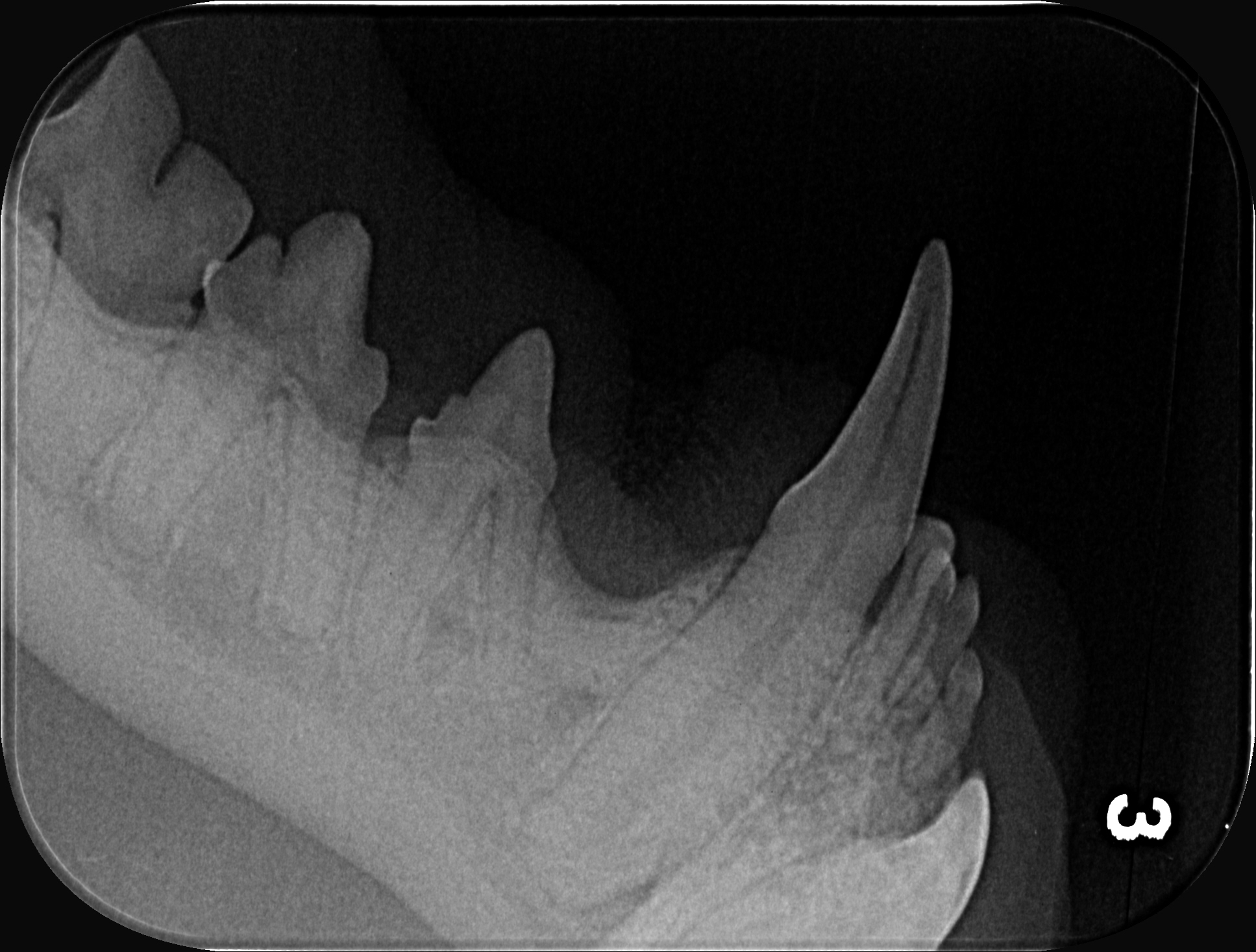
Zahngesundheit bei Katzen: Der Moment, der mir die Augen geöffnet hat
Bei Ernie und Bert war es nicht ein einzelnes „Symptom“, das mich sofort alarmiert hat. Es war eher ein Gefühl: Dass da etwas im Hintergrund läuft. Ein bisschen „komisches“ Fressen, ein bisschen zurückhaltender – nichts, wo man sofort schreit: Tierarzt, jetzt.
Und dann kam die Untersuchung. Und dann kam das Thema Zahnsanierung.
Ich erspare dir hier die Dramatik – aber ich sage ehrlich: Das war für mich ein echter Aha-Moment.




Trockenfutter und Zahnstein: Ich verlasse mich darauf nicht mehr
Ich halte es kurz, versprochen.
Trockenfutter sind diese knusprigen Kroketten. Viele glauben, dass sie „die Zähne reinigen“, weil sie ja crunchy sind. Ich dachte früher auch: Klingt logisch.
Heute sehe ich das anders – vor allem, weil ich erlebt habe, dass Trockenfutter Zahnprobleme nicht automatisch verhindert. Und ja: Für mich war es eher das Gegenteil, weil es ein falsches Sicherheitsgefühl geben kann.
Auch fachlich wird das oft als Mythos eingeordnet: Trockenfutter allein ist keine verlässliche Zahnpflege.
Damit meine ich nicht, dass jeder sofort alles umstellen muss. Ich meine nur: Ich würde Trockenfutter nicht als „Zahnbürste“ einplanen.
Und genau weil solche Themen (gerade bei Zähnen) schnell richtig ins Geld gehen können, habe ich mir eine Tierversicherung angesehen. Meine Erfahrungen mit Lassie * habe ich hier gesammelt: Tierversicherung für Katzen: meine Lassie Erfahrungen.
Was ich stattdessen mache (ohne perfekt sein zu wollen)
Seit Ernie und Bert bin ich bei Zahngesundheit bei Katzen einfach wacher. Nicht panisch – nur aufmerksamer.
- Ich schaue öfter mal ins Mäulchen (wenn es stressfrei geht).
- Ich nehme Mundgeruch ernst, wenn er „anders“ ist.
- Ich lasse Zähne lieber einmal mehr kontrollieren, statt jahrelang zu hoffen.
- Und ich baue meine Fütterung nicht auf dem Trockenfutter-Mythos auf.
Und ja: Ich füttere ausschließlich hochwertiges Nassfutter. Das ist meine Entscheidung, weil es für mich stimmig ist.
Wenn du wissen willst, welches Nassfutter bei mir im Napf landet, habe ich es dir hier mal verlinkt: hochwertiges Nassfutter *.
Auf der Webseite von ANIfit bekommst du 10% Rabatt mit dem Gutscheincode „MeinKatzengehege *„.
Zahngesundheit bei Katzen: Die kleinen Zeichen, die ich heute ernster nehme
Ich mache daraus keine Wissenschaft, aber ich höre inzwischen genauer hin, wenn mir sowas auffällt:
- Mundgeruch, der plötzlich stärker wird
- Futter wird fallen gelassen oder „komisch“ gekaut
- einseitiges Kauen / Schmatzen
- weniger Putzen oder mehr Rückzug
Cornell (Veterinärmedizin) nennt ähnliche Anzeichen (z. B. Mundgeruch, gerötetes Zahnfleisch, Probleme beim Fressen) als typische Hinweise, wenn eine Katze Zahnprobleme hat
Mein Fazit: Ich hätte früher hinschauen sollen
Wenn ich heute auf Ernie und Bert zurückblicke, denke ich nicht: „Hätte ich mal früher besser recherchiert.“
Ich denke eher: Ich hätte früher hingucken sollen.
Zahnthemen sind bei Katzen so still. Und trotzdem können sie richtig auf die Lebensqualität drücken. Deshalb ist Zahngesundheit bei Katzen für mich inzwischen ein festes Thema – nicht als Angst, sondern als Teil von guter Fürsorge.
